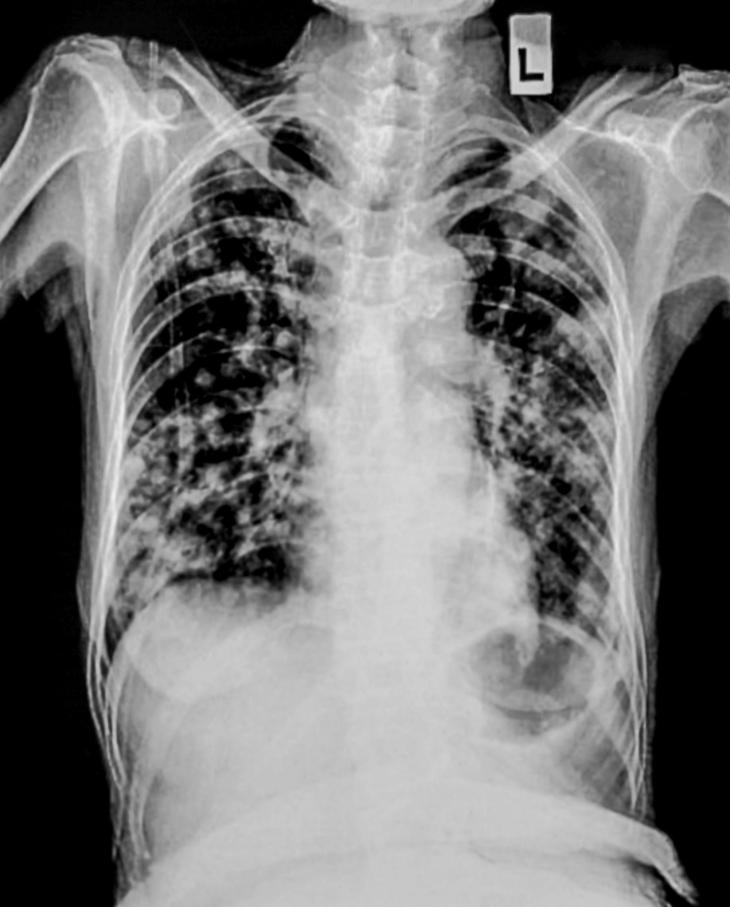
El 24 de marzo se conmemora el Día Mundial de la Tuberculosis, una fecha clave en la agenda sanitaria internacional que busca visibilizar una enfermedad que, lejos de haber sido erradicada, continúa afectando a millones de personas en todo el mundo. La jornada, impulsada por la Organización Mundial de la Salud, funciona como un llamado a reforzar políticas públicas, financiamiento y acceso a tratamientos.
La elección de la fecha remite a un hito científico fundamental: el 24 de marzo de 1882, el médico alemán Robert Koch anunció el descubrimiento del Mycobacterium tuberculosis, el bacilo responsable de la enfermedad. Este avance permitió comprender que la tuberculosis era una patología infecciosa y sentó las bases para el desarrollo de diagnósticos y tratamientos.
A pesar de los avances en medicina, la tuberculosis sigue siendo una de las enfermedades infecciosas más letales del mundo. Cada día, miles de personas mueren por causas asociadas a esta patología, especialmente en países de ingresos bajos y medios donde el acceso al sistema de salud es limitado.
El problema se agrava con la aparición de cepas resistentes a los medicamentos, lo que complica los tratamientos y eleva los costos sanitarios. Esta situación evidencia la necesidad de fortalecer los sistemas de salud y garantizar diagnósticos tempranos y tratamientos adecuados.

La lucha contra la tuberculosis no depende únicamente de avances científicos, sino también de decisiones políticas y de la capacidad de los Estados para implementar estrategias sostenidas en el tiempo. Factores como la pobreza, la desnutrición y el hacinamiento continúan siendo determinantes clave en la propagación de la enfermedad.

En este contexto, el Día Mundial de la Tuberculosis funciona como un recordatorio de que la erradicación de esta enfermedad requiere una acción coordinada a nivel global, con inversión en salud pública, cooperación internacional y políticas orientadas a reducir las desigualdades estructurales.